As discrepâncias esqueléticas verdadeiras, sobretudo as anteroposteriores, apresentam, na sua maioria, compensações dentárias em diversos graus. Normalmente nas Classes III de Angle observa-se uma protrusão dos incisivos superiores e a retroinclinação dos inferiores. Já nas Classes II, essa compensação apresenta-se numa relação inversa, onde os incisivos inferiores posicionam-se protruídos e os superiores retroinclinados.
Essas posições dentárias podem ser consideradas como uma tentativa natural de busca de equilíbrio entre os arcos dentários, o que pode mascarar pequenas discrepâncias esqueléticas, mas tornam-se ineficientes nas moderadas e severas. Nesses casos, um planejamento orto-cirúrgico restabelece não apenas o equilíbrio dentário, mas também o esquelético e, principalmente, o facial.
O primeiro passo, ao se planejar esses casos, consiste em reposicionar os incisivos numa angulação mais próxima do ideal possível em relação às suas bases ósseas. Dessa forma, podemos levar em consideração as avaliações cefalométricas do longo-eixo dos incisivos superiores com o plano palatino (1.pp) e dos inferiores com o plano mandibular (IMPA). Embora outras medidas cefalométricas possam ser utilizadas nessa avaliação, considerar a boa relação dente-osso nos parece bem mais óbvio nesse momento e quantifica o movimento necessário para a sua descompensação.
De modo geral, as descompensações são realizadas às custas de extrações e projeções dentárias nos arcos antagônicos. Nas Classes III, as extrações recaem sobre os pré-molares superiores e na projeção dos incisivos inferiores. Nas Classes II, a situação inversa irá ocorrer, com a extração dos pré-molares inferiores e a vestibularização dos incisivos superiores. Diante desse quadro, torna-se primordial explicar aos pacientes e seus responsáveis que durante esse processo as discrepâncias esqueléticas se tornarão mais evidentes, o que irá piorar temporariamente o aspecto facial do paciente. O reequilíbrio da face só acontecerá após a cirurgia ortognática.

Compensação natural na Classe III

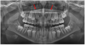
Compensação natural na Classe II
Para ler mais:
https://ortodontiamazzieiro.com.br/blog/a-subdivisao-de-angle-o-que-ela-realmente-significa/


 
					 
					





 
					
 
 
 
					 
					



 
					


 
					
 
					


 
					

 
					 
  
 





